转移乳腺癌的警告迹象
你没有总是得到你的警告标志乳腺癌已经传播,意识到症状有助于。在某些情况下,早期检测可以防止更差的副作用。另外,考虑一下转移性乳腺癌风险因素,这在某些方面不同于较早阶段的乳腺癌的风险因素。
最多乳腺癌转移的常见区域是骨骼,肺,肝脏和大脑。这是看与每个相关的症状。

骨骼中转移的风险
超过一半的阶段4乳腺癌患者体验骨转移据Murercancer.org称。通常是第一个地方乳腺癌蔓延,骨骼最常见的影响包括肋骨,脊柱,骨盆和臂和腿部。如果您怀疑癌症已经扩散到骨骼,重要的是要快速检查,因为您可能能够防止伴侣迅速治疗。

骨骼中转移的迹象
注意突然出现的新疼痛,特别是那些不能通过休息或躺下而消失的疼痛。其他症状包括:
- 无法移动(可能表明骨折)
- 任何部位麻木或无力
- 便秘
减少警觉性,疲劳,弱点,恶心,食欲丧失,脱水可以是钙,因为骨分解而在血液中升起。

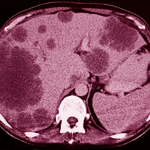
肝脏中的转移可能不会引起症状
你可能不是第一个注意如果乳腺癌会扩散到肝脏;根据breastcancer.org网站的说法,通常情况下,没有任何征兆。
肝功能测试可以检测出血液中酶和蛋白质的异常水平,这可能表明癌症已经扩散到肝脏。

肝脏转移的迹象
当肝脏转移确实会导致症状时,它们可以包括:
- 腹痛或不适;恶心
- 极端疲劳;弱点
- 减肥;食欲不振
- 发烧
- 腹胀
- 腿部,脚和手肿胀
- 皮肤变黄或眼睛的白人
- 皮肤发痒或起皮疹

肺部转移可能不会引起症状
和肝脏一样,乳腺癌并不总是会引起症状当它进入肺部时.影像检查,如胸部扫描,可能在你注意到任何症状之前就发现肺部肿瘤。

肺部转移的迹象
当它确实引起症状时,标志可能很难区分普通感冒。如果问题持续超过一两个星期,请检查一下,请检查Breastcancer.org.建议。
症状可能包括:
- 肺部或胸部的疼痛或不适
- 呼吸困难;喘息
- 持续咳嗽
- 咳血或粘液


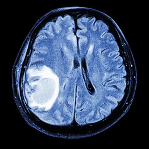
大脑中转移的迹象
症状可以从物理到心理学,并且可能包括:
- 头痛逐渐变得更糟,头部压力
- 模糊或双重视野
- 缉获
- 呕吐或恶心
- 讲话难以言论
- 行为,情绪或人格的变化

诊断转移性乳腺癌
如果你确实有上述任何迹象和症状,各种测试可以帮助诊断转移性乳腺癌,包括:
- 血液测试
- 全身骨扫描
- 脊柱或大脑的MRI
- CT扫描胸部,腹部,骨盆和/或大脑
- 宠物扫描
- 腹部或胸部的X射线或超声波
- 支气管镜检查
- 活检
- 从肺和胸壁之间的脊髓或区域进行“轻拍”或流畅的去除
Sheila Mulroonege Eldred是哥伦比亚新闻学院的毕业生和前报社。作为自由健康记者,她撰写了从威胁威胁到精英运动员的一切。她的故事出现在纽约时报,性质,Fivethirtyeight,太平洋标准,统计新闻和其他出版物中。在她的业余时间,她和她的家人喜欢在明尼阿波利斯跑步,越野滑雪和山地自行车。