6令人惊讶的方式糖尿病影响身体

也许你有患有糖尿病的母亲或父亲或父亲Tío.或者蒂亚,你担心你最终可能有它。想知道自己对糖尿病的风险正常。根据疾病控制和预防(CDC)的中心,10名美国人约有1人患有糖尿病。2型糖尿病 - 你通常发展为成年人的糖尿病 - 是最常见的糖尿病类型。

CDC报告,在终身期间,西班牙裔成年人有50%的机会开发2型糖尿病(比非西班牙裔白人的10%)。如果你是西班牙裔,你也更有可能患有与糖尿病相关的肾脏损害,视力丧失和失明。点击以了解糖尿病如何影响到您的神经系统的一切,以及如何防止它。

眼病和糖尿病
糖尿病视网膜病是一种眼部疾病,导致视网膜血管损伤,位于眼睛后部。糖尿病导致这些血管变弱或漏水,导致视力丧失。根据美国眼科学院的说法,在视觉损伤的西班牙裔人中有15%的患有糖尿病视网膜病变,而非西班牙裔白人为12.2%。
你可以做什么:如果哥伦布州立大学韦斯纳医疗中心,俄亥俄州州大学Wexner Medicle Centre,哥伦布州内分泌学,糖尿病教授,俄亥俄州大学韦斯医学中心的教授Kathleen Wyne表示,如果早期抓住了这些眼病,并避免或避免或减少愿景丧失。

心脏病和糖尿病
据CDC称,心脏病是美国美国西班牙裔美国人死亡原因。Wyne博士说,如果你有糖尿病,加工胰岛素的挑战可能会损害心脏。这可能导致呼吸急促和下腿肿胀。患有糖尿病的人可能不知道他们有心脏问题,减少身体活动,以避免麻烦的症状。反过来,缺乏活动使糖尿病更糟糕。
你可以做什么:移动更多并获得定期的身体活动。试试这个:每天,打开你最喜欢的一些reggaeton或Salsa命中和舞蹈,就像没有人在看。

肾脏损伤和糖尿病
当纽约州尼斯·尼西亚医院Montefiore Nyack医院的SandraArévalo,杜鹃教育专家,你的肾脏必须更加努力地过滤掉垃圾,这会随着时间而导致肾脏损害。在Baltimore地区的家庭医学专家M.D2,M.D.,您可能不知道常急排尿或肌肉痉挛等重大症状,直到常急排尿或肌肉痉挛。据国家糖尿病和消化疾病研究所,西班牙裔/拉丁裔人民患有肾脏衰竭的可能性比其他人口统计更少1.3倍。
你可以做什么:与注册的营养师或营养师合作,以确定您可以帮助保持糖尿病的简单饮食变化。

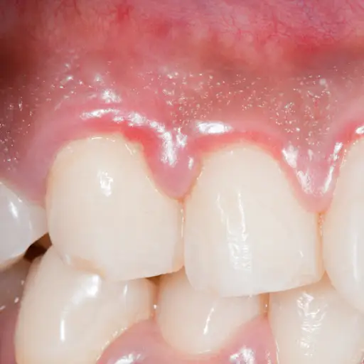
牙龈疾病和糖尿病
牙龈疾病是牙龈围绕牙齿的牙龈和骨骼的感染。牙龈疾病的症状包括口臭,麻醉咀嚼和牙龈疼痛。Wyne博士说,当有人没有牙科保险时,牙龈疾病经常被忽视,或者他们没有经常考试和清洁,并在那里被发现和治疗。

牙龈疾病,继续
糖尿病患者有害,牙龈疾病有关,牙齿丧失,最终需要假牙。牙齿损失会影响您的饮食,使其更加难以吃健康并管理您的血糖。
你可以做什么:与定期考试和清洁密切关注您的牙科健康(至少每年两次)。如果您有保险覆盖范围问题,请向您的医疗保健团队提出帮助寻找适合您情况的牙医。

神经损伤和糖尿病
你的身体上有神经末梢,可以帮助您感受到感觉和温度变化。Boling博士说,没有充分控制的糖尿病可能导致神经损伤(也称为神经病变),特别是在你的脚上。神经损伤的症状因其受到影响而受到影响的不同。有些人完全失去感觉,而其他人则感到痛苦或燃烧。
你可以做什么:如果你的脚上有糖尿病和神经损伤,即使在像海滩这样的地方,也可以穿着防护鞋,以帮助避免削减。每天检查你的脚进行炎症或伤害。

胃术和糖尿病
通常,您的胃处理您的食物,使其足够小,以进入小肠并继续消化。随着胃瘫痪,胃肌肉需要很长时间才能清空食物。如果你的肚子疼或者在每餐后觉得恶心 - 甚至是你妈妈的着名Arroz精读波洛- 你患有胃灼热,这可能是由不受控制的糖尿病和可能的胃病造成的。2019年研究发现,与患有糖尿病的非西班牙裔同龄人,患有糖尿病的西班牙裔患者的风险更大。
你可以做什么:预脂肪?Boling博士说,通过改变您的进食和将健身程序纳入健身常规,延迟全吹糖尿病和胃流血。

预防糖尿病的副作用
虽然这些较小的糖尿病效果可能听起来可怕,但您确实对它们有所控制。“当糖尿病管理不佳时,糖尿病和后果的所有症状都更加明显,”Arévalo说。可以做的一件事以避免这些健康效果是监测你的血糖。出现定期健康预约,根据需要检查家中的血糖,并定期检查血红蛋白A1C。这些可以在三个月内显示平均血糖。
- 西班牙裔/拉丁裔美国人和糖尿病:疾病预防与控制中心。(2019)。“西班牙裔美国人/拉丁裔美国人和2型糖尿病。”cdc.gov/diabetes/library/features/hispanic-dabetes.html.
- 糖尿病统计:疾病预防与控制中心。(2020)“国家糖尿病统计报告”。cdc.gov/diabetes/library/features/diabetes-stat-report.html.
- 糖尿病和眼病:美国眼科学院。(N.D.)。“美国眼病统计。”aao.org/eye-diseasestatistics
- 种族和肾病:国家糖尿病研究所和消化肾病。“种族,种族,肾病。”niddk.nih.gov/health-information/kidney-disease/race-民族
- 胃术(1):国家糖尿病研究所和消化肾病。(2018)。“胃流血的定义和事实”。niddk.nih.gov/health-information/digestive-diseases/gastroparesis/definition-facts.
- 胃术(2):临床胃肠病学和肝病学。(2019)。“胃流血患者的病因,症状,治疗和症状结果的民族,种族和性别差异。”pubmed.ncbi.nlm.nih.gov/30404035/
- 糖尿病和口香糖疾病:国家糖尿病研究所和消化肾病。(N.D.)。“糖尿病,牙龈疾病和其他牙科问题。”niddk.nih.gov/health-information/diabetes/overview/preventing-problems/gum-disease-dental-problems.
- 肾病症状:国家肾脏基金会。(N.D.)。“10个迹象,你可能有肾脏疾病。”Kidney.org/news/ekidney/august14/10_signs_you_may_have_kidne_disease.
Vanessa Caceres是自由职业者,旅行和食品作家。她喜欢帮助消费者更好地了解他们的健康,帮助卫生提供者更好地了解他们的患者。她还有一个背景教学英语作为成人的第二语言,并在乔治城大学拥有这一领域的硕士学位。她在教育中的背景有助于她与她写的许多故事。