你的结肠癌词汇表:你需要知道的话
通过斯蒂芬妮·伍德 健康的作家
它很容易被肿瘤学家的行话所迷惑。即使你对结肠直肠癌(也被称为结肠癌)的诊断和治疗已经很熟悉了,仍然可能有一些词你不理解。例如,当你的医生提到“宠物”时,她并不是指人类最好的朋友。她说的"舞台"跟剧院一点关系都没有。这篇关于结肠癌语言的指南将帮助你“侃侃而谈”,做出明智的决定,这样你就可以回到自己的生活中去。

冒号是什么意思?
在你的消化系统中,食物从胃进入小肠,然后进入你的结肠,也称为大肠。该盲肠是一个连接两者的袋子。从那里,升起冒号向右前往右侧横结肠顾名思义,它穿过你的上腹部到左侧,通向降结肠它沿着你的腹部左侧延伸到短而弯曲的地方锡形结肠连接直肠。

筛选术语您可能会听到
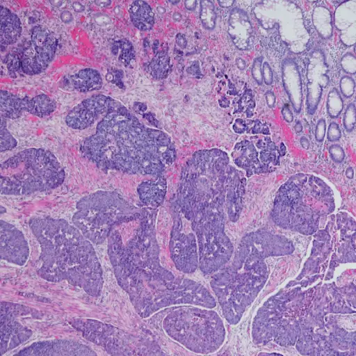
结直肠癌筛查的金标是一个结肠镜检查在这种手术中,一根管子插入结肠以寻找息肉,过度生长上皮组织那条线肠。大多数息肉是无害的,但它们可以变成称为恶性肿瘤腺癌。如果你的医生看到有问题的地方,她会活检- 将组织样本 - Samir Gupta,M.D.是加州大学圣地亚哥健康的胃肠学家。样品进入实验室组织学,在显微镜下的组织研究以寻找癌症。

理解你的诊断
如果确定你有癌症,下一步是宿舍- 确定癌症是否含有或在结肠或直肠内涂布的过程以及身体的其他部位。有五个阶段,阶段0是最早的最早和阶段的阶段预后或预期的结果。第0阶段也被称为癌原位:这些是它们形成的地方的异常细胞 - 但请记住,他们可以转向癌症并传播。

影像学:医生如何近距离观察
纽约长岛亨廷顿医院结肠外科主任David Rivadeneira医学博士说:“在分期阶段,我们做了大量的影像学研究以寻找更多的线索。”一种CT扫描(CT代表“计算机断层扫描”)使用X射线进行详细的横截面图像,显示癌症是否已蔓延到附近淋巴结-immune系统腺体,可帮助癌症旅行 - 或者到其他器官。

更多的成像方法
一个超声依靠声波来检测附近的器官是否有癌症扩散。磁共振成像(MRI)使用无线电波和强磁铁来检测肝,大脑和脊髓。在一个PET扫描(正电子发射断层摄影术),在结肠癌中很少使用,将一种聚集在癌细胞中具有轻微放射性的糖注射到血液中,观察它的移动方向。

两种手术
对于0期、1期和2期的结肠癌患者,仅通过手术就可以治愈。切除部分结肠的过程被称为联络术。这可能与癌症的部位有关,如右结肠切除术或横结肠切除术。Rivadeneira博士指出,现在很多患者都接受了微创机器人手术或腹腔镜手术,这可以更快地恢复。一种光造口术在治疗过程中,也可能是必要的,但通常是暂时的。

常见化疗术语
还将给出患有第3阶段或4阶段的人,以及一些阶段的2阶段具有高危结肠癌的患者化疗杀死癌细胞的药物。手术后化疗是一种佐剂治疗-这只是意味着对可能留下的恶性细胞进行额外的治疗。(其他形式的辅助治疗包括放疗、激素治疗和靶向治疗。)化疗也可以在手术前进行,以缩小肿瘤,这被称为aNeoadjuvant Therapy.(“neo”表示它是主要治疗前的第一步,手术)。

化疗方法
因为化疗可以继续几个月,一个港口通常植入患者的胸部 - 它是导管,所以医生可以将药物送入患者的系统,而无需恒定的IV针头。一种PICC线路(外围插入的中央导管)类似:它是一个长,可植入的导管,放置在臂上而不是胸部。

关于晚期结直肠癌的重要术语
当它的阶段4时,结肠癌被认为是先进的,这意味着转移,或传播到遥远的器官。通常它传播到肝脏,肺和骨骼,但也可能存在危险的侵入-扩散到周围神经的空间。虽然这听起来很可怕,但还是有进展的个性化肿瘤学在美国,针对特定基因和疾病的独特治疗方法的发展,使4期患者有可能实现缓解在纽约市纪念斯隆肯特癌症中心的医疗肿瘤学家,M.D.Antrea Cercek,M.D.。

“区域治疗”是什么
芝加哥西北纪念医院的外科肿瘤科学家,副作用较少,副作用较少,副作用较少。其中一个是肝动脉输液,通过泵将Chemo直接递送到肝脏中的肿瘤来治疗肝转移。放射治疗它使用高能射线瞄准并杀死癌细胞,还可用于缓解肠道堵塞、出血和疼痛等严重症状,或用于治疗扩散到其他器官的疾病。

更多的治疗术语需要了解
其他类型的区域治疗也可用于将转移治疗肺部和肝脏。它们包括消融,这基本上意味着“破坏”肿瘤。射频消融用无线电波通过探针来加热并杀死肿瘤细胞,同时cryosurgical消融用非常冷的气体来冷冻肿瘤细胞。栓塞这是另一种选择:该手术包括向选定的血管中注射微小颗粒或微珠,以阻断为肿瘤供血的血流,从而允许更高剂量的化疗直接进入肿瘤。

免疫疗法:基础知识
较新的癌症治疗,免疫疗法也称为immuno-oncology,使用药物来射击免疫系统,说,他也是癌细胞梦队调查员的立场。这是一种形式生物治疗,由生活来源(而不是化学品)制成的药物。目前可用的两种药物被称为检查点抑制剂它们会阻止一种蛋白质关闭或减缓免疫反应。免疫疗法只被批准用于4期肿瘤患者的高水平微卫星不稳定(msi-h),这意味着它们有很多突变,使它们具有侵略性。

教育目标疗法
另一种突破性的治疗类别,有针对性的治疗方法锁定癌症的特定基因、蛋白质或组织,以阻止癌细胞扩散。它适用于一些4期癌症患者;你的医生首先会检测你肿瘤的某些生物标记物——dna、蛋白质、基因突变——然后给你开适当的药。这些包括EGRF抑制剂,它攻击促使癌细胞生长的表皮生长因子受体和VEGF抑制剂,停止开发喂养癌症的新血管。VEGF抑制剂也被称为血管生成抑制剂。

有两个继承的条件要了解
虽然这种情况很少见(大约5%的结直肠癌患者会出现这种情况),但有两种情况是由遗传缺陷引起的,可以通过父母传给孩子。在林奇综合征,人们继承了一个应该纠正遗传密码错误的基因的腐败版本。如果没有这种纠错能力,DNA突变繁殖,增加癌症风险。家族性腺瘤性息肉组织(FAP)是由腺瘤性息肉组织大肠杆菌基因的缺陷引起的,导致潜在的癌症导致息肉的过度开发,这些息肉可以从青春期尽早开始。