非典型股骨骨折
通过PAM Flores.根据Girgiset al .,虽然双磷酸盐是骨质疏松症的一种公认的治疗方式,但长期服用双磷酸盐的患者发生罕见股骨骨折的风险越来越受到关注。这些骨折被称为“非典型”骨折,具有许多临床和影像学特征,以区别于“典型”骨质疏松骨折。
这种类型的骨折发生在服用二膦酸盐或服用完二膦酸盐后;骨折是没有任何损伤的,在站立时,在大腿上部骨折,然后病人摔倒。
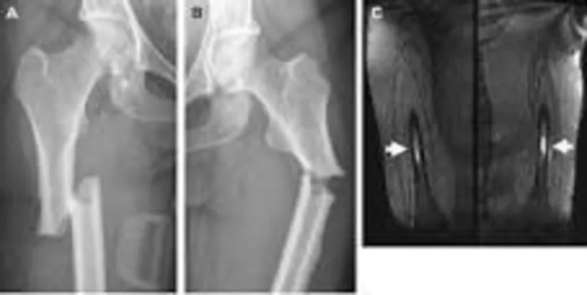
不典型股骨骨折影像
* *

* *
双磷酸盐对骨质疏松症的治疗非常有效,但是仍有一些患者由于长期使用双磷酸盐大约3 - 5年而发生这种类型的股骨骨折。
什么是非典型股骨骨折(AFF) ?它与髋部骨折有什么不同?
这种类型的骨折发生在人体最强壮的骨头之一,位于大腿的股骨干。这些骨折发生在股骨颈的正下方——大多数髋部骨折的位置——一些特征是骨增厚、前段疼痛和位置,位于股骨的上2/3处。
什么导致股骨骨折?
股骨骨折可能发生在重大创伤,如汽车事故,或在本例中,长期使用双磷酸盐3年以上造成的轻微运动。
非典型股骨骨折的症状是什么?
常见症状有:股骨疼痛1-2个月,应力性骨折,创伤小,表现在股骨前2/3,腹股沟疼痛,长期使用双磷酸盐(Fosamax®,Actonel®,Atelvia®,Reclast®Aredia®,Boniva®)。
如何诊断AFF ?
典型的x光片通常不会显示出股骨应力性骨折,所以如果x光片没有显示出骨折,就需要进行MRI或CT扫描。大多数情况下,骨折一定是低能性创伤导致的骨折是在摔倒前骨折的。如果核医学试验显示这种类型的骨折,那么你将有一个诊断AFF。
如何治疗?
如果这种类型的骨折发生在服用双磷酸盐的患者身上,外科医生会使用棒和螺钉来稳定骨折的骨头。这些骨折很难愈合,在某些情况下必须进行交换钉手术。在很多情况下,当一根股骨骨折时,另一根股骨很可能也会骨折,所以医生必须监控这一点。
这种骨折要多久才能痊愈?
每个病人的康复情况都不一样,所以可能需要一年以上的时间才能恢复。如果在愈合过程中出现问题,医生可能会建议使用Forteo(一种基因工程形式的甲状旁腺激素)来帮助愈合和形成新骨。Forteo是一种每日皮下注射,通常使用期限为两年,但在这种情况下,它可以使用较少的时间或直到股骨愈合。
如果你怀疑自己有这种骨折,尽快去看医生或专家。你需要坚持检查以得到诊断,如果你的大腿上部或腹股沟部位疼痛,一定要告诉你的医生。
资源:
Black等ASBMR(2009)罕见不典型转子下骨折。访问4-10-15从
Pam是一位耐心的教育工作者和数字健康作家,自2008年以来一直在Remedy health Media骨质疏松症网站上工作。BoB体育官网下载帕姆也是国家骨质疏松基金会激励在线社区的组长和主持人。