子宫内膜癌危险因素和诊断指南

子宫内膜癌,或子宫内膜的腺癌,是美国最常见的子宫癌。这种癌症起源于子宫内膜或子宫的衬里。每年有大约62,000名妇女被诊断出患有子宫内膜腺癌。
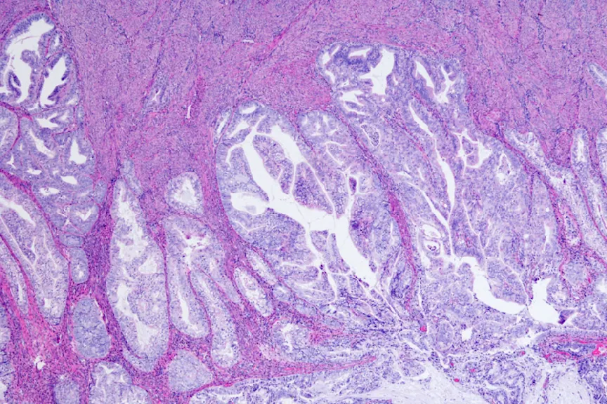
子宫内膜癌通常诊断为早期
“大多数患有阴道出血的子宫内膜癌的女性,”纽约兰松康梦癌中心妇科肿瘤妇科肿瘤主任Douglas A.Levine说。事实上,根据国家癌症研究所(NCI),分析129项患有超过40,000名女性的研究发现,90%的绝经后妇女被诊断患有子宫内膜癌症经历过阴道出血。
如果您是预期预兆,您可能会在频繁的时期,过度流动或期间出血时异常出血。“如果一个女人在一天中浸泡了超过五个垫子,那真的很重出血,”Johns Hopkins大学妇科和妇产科助理教授Anna Beavis。
由于妇女存在异常阴道出血,所以在早期阶段诊断出三分之二的子宫内膜癌症,预后通常很好。
“标准治疗是一种消除子宫的子宫切除术,通常是卵巢,子宫颈和输卵管,“Levine博士说。根据这一点NCI.,局部子宫内膜癌的妇女的五年存活率可达95%。
虽然异常阴道出血是子宫内膜癌的关键症状,但它也与诸如肌瘤等较小的病症相关,多囊卵巢综合征(PCOS),或在子宫内侧的息肉,Beagis博士告诉健康中央。
阴道出血也可能发生在绝经后妇女中,因为阴道天然萎缩 - 意味着它变得干燥和细腻 - 由于缺乏雌激素。在上面引用的研究中,由于出血而持续约9%的女性最终被诊断出患有子宫内膜癌。所以,虽然出血异常应该迅速访问你的医生,但不要恐慌。阴道出血通常不表明子宫内膜癌,虽然这种症状应该通过健康专业人士进一步探索。
子宫内膜癌的危险因素是什么?
有几个关键因素可能会增加内膜癌症的风险。
“约有50%的子宫内膜癌被认为是直接归因于超重或肥胖,”比斯维斯博士说。事实上,子宫内膜癌是与肥胖最直接相关的癌症之一。肥胖女性不仅有一个诊断患有子宫内膜癌的风险更大的2.4至4.5倍比正常重量女性,它们也面临额外的疾病和肥胖相关的心脏病死亡风险。
“激素替代疗法(HRT)也可以增加您的风险,”Beagis博士说。“如果你服用HRT的症状,如热闪烁,你必须服用黄体酮和雌激素。”
其他危险因素包括子宫内膜增生,这是一种可能在超重或肥胖或有PCOS的女性中发展的癌前病症。子宫内膜癌的小亚群(2至5%)可能与称为遗传病症有关林奇综合征这让您有风险促进产生子宫内膜和其他类型的癌症。当然,年龄是发展任何癌症的危险因素。被诊断患有子宫内膜癌的女性的平均年龄是62.大多数呈现子宫内膜癌的女性是绝经后血症。
子宫内膜癌是如何诊断和上演的?
您的妇科医生将检查您并提出有关您的出血的问题,以确定活检是否合适。在活组织检查期间,Levine博士说,您的医生将从子宫内侧采用组织样本,其中一个看起来像稻草的小型设备。他说,病理学家将在显微镜下看看组织,并确认您是否患有癌症,前癌症或非癌症出血的出血。
如果您无法接受活检,您的医生可以在麻醉下进行扩张和刮曲(D&C)。她将扩张(打开)子宫颈并刮掉子宫衬里的样品,以确保没有癌细胞。
“这也允许我们做一个宫腔镜检查,它使用小型摄像机在群众,肌瘤或息肉内看看,”Beavis博士说。“它深入了一点。”
如果病理学家证实子宫内膜癌,您的妇科肿瘤学家将考虑手术清除子宫,子宫颈,卵巢和输卵管和样本附近淋巴结的样本,以了解癌症是否已经传播,一种称为分期的过程。成像测试,例如PET扫描,也可以帮助确定您的癌症是否在手术之前或之后传播。
在1阶段的子宫内膜癌中,肿瘤仅限于子宫。如果你有2阶段的癌症,它已经蔓延到子宫颈。第3阶段意味着您的癌症进一步扩散到卵巢,输卵管,阴道或淋巴结,但仍然包含在骨盆中。转移性子宫内膜癌(第4阶段)涉及其他器官,最可能膀胱,肠,腹腔内的其他淋巴结,以及在某些情况下,肺或骨骼。
肿瘤学家还将子宫内膜肿瘤分类为低风险(1和2级)和高风险(3级)。癌症的阶段和风险水平决定了手术后是否需要额外的治疗,例如放射或化疗。
此外,子宫内膜癌的诊断可能导致额外的遗传测试。“我们还测试可能表明患者可能具有林奇综合征的标记的肿瘤,”Beavis博士说。“如果肿瘤有这些标记,那么我们将患者提及遗传测试。”
底线
如果您有子宫内膜癌,请从妇科肿瘤学家寻求护理,他们曾经考虑过培训这些癌症并治疗手术后的患者。
“子宫内膜癌是高度可固化的,通常早期捕获,所以这是一个良好的癌症,”莱文博士说。“关键是给你的妇科医生引起异常流血。”