关于MS脑病变的6件事
多发性硬化症造成瘢痕的原因是什么?为什么治疗如此重要,损伤会愈合吗?

当你有自身免疫性疾病多发性硬化症(MS),你大脑的病变是包装的一部分 - 事实上,“硬化症”这个词意味着疤痕,疤痕只是描述病变的另一种方式。
“您无法在至少两个领域中诊断MS而不诊断MS[中央]神经系统,其中之一必须在大脑中,“在博尔的摩的约翰霍普金斯大学医学院的神经学助理教授,M.D。
但它们到底是什么呢?它们是如何形成的?为什么会引发MS症状?以下是对与多发性硬化症相关的大脑损伤最重要的问题的答案。
1.大脑损伤是如何形成的?
Bhargava博士解释说,脑病变是由您身体自身免疫系统的流氓攻击引起的。当您的免疫细胞错误地靶向并损坏保护涂层时,表现出损伤或疤痕,称为髓鞘,环绕着你的神经纤维,也被称为轴突。(这种保护涂层在您家中的电缆上有很大的工作方式,护套在它们内部 - 您可以想象当护套磨损或销毁时会发生什么。)髓鞘损坏和损失的医学术语是髓鞘脱失。虽然MS的病变通常在大脑的不同部位发现,但它们可以发生中枢神经系统(CNS)的任何地方,这也包括两个视神经和脊髓。
“基本上,血液中的免疫细胞因某种原因而被激活,”Bhargava博士说。“它们交叉进入大脑,再次激活,然后产生将其他免疫细胞的物质引入脑中。这导致最终形成病变的损伤。“在某些情况下,这些免疫细胞通过实际的神经纤维切割,导致永久性损害,因为切断神经不能发送或接收信号。
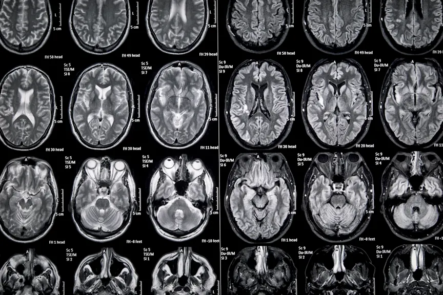
巴尔加瓦博士说,大脑损伤最初形成时,可以通过磁共振成像(MRI)扫描看到活动性炎症。他解释说,如果你的医生怀疑你有活跃的病变,你可能会做一个钆对比的核磁共振检查。钆是一种稀土金属,用来作为对比剂显示你身体最近的炎症区域。通常情况下,造影剂无法进入大脑或脊髓,这要归功于所谓的血脑屏障。但是当病变活跃时,他们会扰乱血脑屏障的正常防御。对比度泄漏到病变,它们在MRI上显然出现。
随着时间的推移,炎症消退,血脑屏障恢复正常,对比也不再显示在成像扫描上。巴尔加瓦博士说:“这样就会留下一个髓磷脂缺失的区域,我们称之为脱髓鞘。”你最终可能会在这些区域产生疤痕组织这些疤痕组织是由免疫细胞组成的小神经胶质细胞。
2.为什么病变会导致MS症状?
中枢神经系统控制着你身体的一切。因此,“无论病变在哪里,它们都会扰乱信号通路,”位于内华达州拉斯维加斯的克利夫兰诊所卢罗夫脑健康中心的多发性硬化症梅伦项目主任,医学博士华乐(音)说。
如果你的一条视神经出现病变,就会影响你的视力。如果它发展到你的脊髓,你可能会经历麻木或难以移动你的胳膊或腿。如果它攻击你的脑干,这会影响你的眼睛和面部运动,说话,甚至吞咽。华春莹说,脑损伤还会导致疲劳和脑雾。
是一个女士疾病复发缓和,这意味着你有一个疾病活动期(复发),然后是炎症减少和疾病活动停止的时期(缓解)。“我们通常认为与多发性硬化症复发有关的所有症状……都可能由病变引起,这取决于病变的位置,”巴尔加瓦博士说。“随着这些病变中的炎症消退,症状就会改善。”
3.脑干上的病变更严重吗?
华春莹说,病变具体出现在哪里会产生影响。脑干或脊髓的病变比大脑其他部位的病变与更多的身体症状和更高的残疾风险相关。
他提供了一个类比:“如果你想到街道,如果你阻挡了一条街区的道路,那么华博博士说,这不会影响很多影响。”“但由于这些道路和途径在脑干中聚集在一起,然后在脊髓中,现在你在高速公路上。如果你阻挡了高速公路,你造成了重大问题。“
换句话说,取决于它的位置,你大脑的损伤可能不会对你造成太大的影响。你可能什么症状都没有。这被称为隐性病变。巴尔加瓦博士说,通常情况下,当人们因视神经或脊髓病变首次复发时,“我们发现他们的大脑实际上有10或15个病变,这些病变以前从未引起任何症状,”他说。
巴尔加瓦指出,同样要记住的是,出现病变的部位并不一定意味着复发后炎症减轻后你的病情会有多大改善。你恢复的多好更多地取决于损伤的大小和损伤最初的严重程度。
他还指出,损伤的数量并不总是与疾病的严重程度,或多发性硬化症对你的影响程度相关。他解释说:“有些人有很多病变,但只有很少的症状,而另一些人可能只有少数病变,并受到它们的影响。”同样,这取决于损伤所在的位置,以及造成的损伤程度。
4.损伤是否会减慢或阻止?
然后,MS治疗的目标是停止复发发生:“我们通过防止新的病变来阻止新的复发,”Bhargava博士解释道。
疾病修饰治疗女士例如干扰素药物、输液治疗和口服药物,已经被证明在预防新病变方面非常有效。这些治疗方法也可以减少现有的炎症。
“当他们积极通过开始治疗发炎时,我们可以减缓一些病变的炎症,所以病变本身可能不会像剧烈一样,”华博士说。
5.出现后病变会愈合吗?
“绝对,”华博士说。“这不是特定于MS,但在任何有某种脑损伤的过程中,也总会有愈合。还会有疤痕组织的形成,“一个叫做神经胶质过多症他补充道。
有些人,病变中的髓磷脂在某种程度上被修复了remyelination。然而,“它不会像最初的那样强大,”华博士说,这意味着随着时间的推移,你可能会恢复一些神经功能,但可能不是全部。
病理学报告显示,患有多发性硬化症的死者的大脑出现了一些损伤,显示出了髓再生,Bhargava博士同意这一观点。他说:“似乎身体至少可以部分治愈这些损伤,但这可能因人而异,而且在同一大脑内,损伤又会不同。”
研究正在寻找帮助神经系统修复受损髓磷脂的方法。科学家正在研究干细胞疗法和某些药物,如clemastine(一种口服抗组胺药)、lipoic acid(一种抗氧化剂)、ibudilast(抗炎药)和phenytoin(癫痫药)。
6.为什么监测MS病变很重要?
华博士说,病变比在临床上更频繁地展现出来(上述“沉默”病变。)。这就是为什么医生监控MS频繁MRI扫描,而不是等待患者呈现出症状。“我们希望看到沉默的疾病活动。我们想确保没有形成新病变,因为如果我们能够阻止病变形成,我们将大大降低残疾,“华博士说。
他解释说,通常每年都要做核磁共振。花医生说,如果你开始服用一种新药,你可能需要6个月的时间来确保药物发挥作用。一旦你长大了,炎症就会减缓。只要你的多发性硬化症稳定,你就不需要经常做核磁共振。
虽然MRI扫描是医生用来监测多发性硬化症的重要工具,但它们并不能提供全貌。“我们仍然依靠临床工具、其他测试和其他措施来真正帮助我们了解照顾病人的最佳方式,”华博士说。
诊断:女士的大脑:神经病学杂志。(2019年)“在多发性硬化中的磁共振成像对病变的评估:实用指南。”ncbi.nlm.nih.gov / pmc /文章/ PMC6598631 /
钆:美国食品和药物管理局。(2018.)“基于钆造影剂的信息。”fda.gov/drugs/postmarket-dug-safety-information-patiants-and-providers/information-gadolinium-based-contrast-agents.
血脑屏障:国家多发性硬化症协会。(n.d.)“磁共振成像(MRI)。”nationalmssociety.org/symptoms-diagnosis/diagnosing-tools/mri.
疾病修饰治疗:国家神经疾病和中风研究所(NINDS)。《多发性硬化症:研究带来希望:改善疾病的治疗》(Multiple Sclerosis: Hope Through Research: Disease-modifying treatments)ninds.nih.gov/disorders/patient-caregiver-education/hope- rough-research/multiple-sclerosis-hope-through-research#attacks.
髓鞘修复研究:国家多发性硬化症协会。“修复受损组织。”nationalmssociety.org/Research/Research-We-Fund/Restoring-What-s-Been-Lost/Repairing-Damaged-Tissues