 
           如何成为自己的倡导者
无论是在医生的办公室,家还是工作,都没有人能为你站起来,也可以。
 
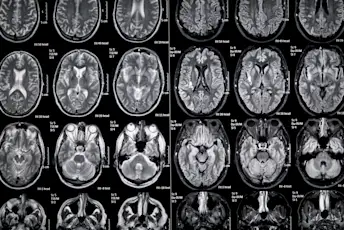
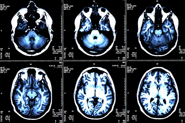
           关于MS脑病变的6件事
他们是什么,如果可以防止,为什么治疗如此重要。
 
           关于这种复发的5件事,复发避孕药
如果您已经复发了多发性硬化(MS),您可能已经知道找到可能是适合您的治疗可能是一个挑战。这是你应该了解的Zeposia,这是一个刚刚抵达与复发MS的人刚到的待遇。
 
           这个忙碌的妈妈用曾经每日药丸(赞助)对待她复发的MS
这个忙碌的妈妈和她的医生在曾经的枪中决定了她的复发MS。
 
           我希望我知道的:患者患者有关MS的患者
老将MS患者分享了他们对治疗计划的宝贵知识,寻找一个社区,处理耀斑等等。
 
           我为什么得到女士?
多发性硬化症诊断可以作为完全冲击 - 并且让您想知道您是否有任何造成的。
 
           您的顶级RRMS问题,回答
美国中有一百万人有多次硬化,但仍然对这种疾病令人困惑。我们清除了事情。
 
           你的伴侣刚被诊断为MS,现在是什么?
听到你的爱有多种硬化是可怕的。我们有关于如何帮助您的伴侣(和您自己)的提示。
 
         
              
             