如何诊断子宫内膜异位症?

众所周知,这种妇科疾病被忽视了。以下是如何一步一步获得成功的诊断。

通过劳拉DeSanto 健康的作家

七年。那当你在处理严重的症状时,比如痛经、消化和泌尿系统问题等,你会感觉很漫长。但这是一个女人平均要花的时间子宫内膜异位为了得到一个准确的诊断,根据2020年的研究.为什么?因为这种情况——通常位于子宫的组织生长在骨盆的其他地方——很难诊断,而且一些医疗保健提供者对这种疾病及其症状不是很熟悉。让我们来看看鉴别子宫内膜异位症的挑战,以及导致成功诊断的因素。

内do诊断的问题

子宫内膜异位症的诊断不足是众所周知的,这在很大程度上是因为医疗专业人员缺乏培训,他说路易斯·p·金,医学博士她是马萨诸塞州波士顿布里格姆妇女医院微创妇科外科的妇产科医生。她说:“(这种情况)不是医学院培训的必修课,也不是妇产科医生或初级保健提供者培训的必修课。”此外,她说,没有成像或血液测试可以明确发现子宫内膜异位症,所以很难进行筛查。那么,如果你和你的医生怀疑自己患有内do,该从哪里开始呢?

你的医生会评估你的症状

你可以从你的初级保健医生或妇科医生开始,但在某些情况下你可能会被转诊给子宫内膜异位症专家,说蔡莉莉,医学博士蔡崇信说,观察你的症状可以帮助医生对可能发生的情况有一个全面的了解,并为可能的子宫内膜异位症建立一个病例,尽管仅凭症状并不能确认诊断。医生列出的症状包括经期疼痛、性交疼痛、排便或小便疼痛、不正常出血以及怀孕困难克利夫兰诊所

你的医生可能会安排检查

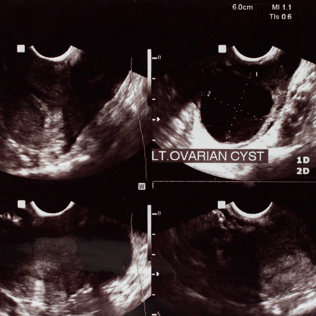
在收集了你的症状的历史之后,你的医生可能会给你开一个超声波蔡康永说。但通常,当涉及到内do时,这些测试不会告诉你太多。蔡博士解释说:“使用血液检测和成像主要是为了排除其他原因,而不是排除子宫内膜异位症。”它们作为诊断工具的作用是有限的,因为“即使在严重的子宫内膜异位症病例中,通常在任何影像学(超声、CT或MRI)上都没有异常发现。”一个例外是,一些有内do的人可能有充血卵巢囊肿她说,要在超声波上显示出来。

排除其他情况

当你和你的医生一起经历诊断过程时,其中一部分意味着弄清楚不是什么引起了你的症状。蔡医生举例说,你的医生可能会排除这种可能性子宫肌瘤子宫腺肌症(也就是当组织异常生长到你的子宫肌肉中),卵巢囊肿,盆腔感染,盆底功能障碍,消化问题,如肠易激综合征,泌尿系统问题,如复发性尿路炎,等等。内do也有可能与这些问题同时发生,所以你的医生也会考虑这一点。

手术是完全确认远堂的唯一方法

很难得到内do诊断的一个原因是,实际上不可能完全确认你有它腹腔镜手术金博士说。这是一种微创手术,通过收集组织样本来检测子宫内膜异位症。在手术过程中,你的医生可能也会尽可能多地切除子宫内膜异位症,使其成为一种治疗形式。组织活检的结果不仅可以确认内do,还可以告诉你内do的严重程度以及它在体内的位置梅奥诊所

术前处理

然而,手术很少是诊断过程的下一步。蔡医生说,人们在没有进行手术确认的情况下就被“推测”患有子宫内膜异位症的情况要常见得多。她解释说:“子宫内膜异位症的主要非手术治疗方法非常相似,在某些情况下,与痛经(无内腔痛经)等其他盆腔疼痛疾病的治疗方法相同。”你的医生可能会在没有确认endo是否是根本原因的情况下,给你开一种控制你症状的治疗,蔡医生说:“如果(治疗)对病人有益,那么标签是什么并不一定重要。”

手术何时完成?

蔡医生承认,话虽如此,想为自己所患的疾病取个名字是完全正常的。“但在我看来,并不是每个人都应该通过手术来诊断,因为手术本身并不是没有风险的,”她解释道。但在某些情况下,也可以考虑手术治疗:“如果有明显证据表明卵巢上有异常囊肿,表明子宫内膜异位症,或者一线治疗无效,女性可能会接受手术治疗,”蔡医生说。一线治疗,如激素避孕,旨在减少炎症的内do,每计划生育但在严重的情况下,可能需要手术等其他治疗。

诊断和治疗的重要性

即使你的医生不建议用手术来确认你的诊断,对子宫内膜异位症进行推测或怀疑的临床诊断仍然是获得所需治疗的重要一步。金博士说:“子宫内膜异位症会增加不孕的风险,并增加卵巢癌的终生风险。”“因此,对患者进行早期、准确的诊断非常重要。”蔡医生补充说,患有骨盆疼痛的人——无论是由内do引起的还是其他原因引起的——都应该被认真对待。“任何疼痛都是严重的,不进行治疗不是适当的医疗保健。”

底线

在子宫内膜异位症变得更严重之前接受治疗可以帮助你减少疾病的风险和并发症。另外,没有人应该只是接受疼痛期这样的症状。“十分之一的育龄妇女患有子宫内膜异位症。平均而言,他们在确诊前要看7到10位医生——这是不可接受的,”金博士说。如果你怀疑自己可能患有内do,和你的医生谈谈,让他们对你进行评估——如果他们不把你当回事,或者他们不精通内do,争取转介给专家,他们可以帮助你得到准确的诊断和最好的治疗。

子宫内膜异位症的诊断延迟研究:治疗的进展.(2020年)“子宫内膜异位症诊断延迟对医疗保健资源利用和成本的影响。”https://ncbi.nlm.nih.gov/pmc/articles/PMC7089728/

子宫内膜异位症的症状:克利夫兰诊所。(2022)“子宫内膜异位症”。https://my.clevelandclinic.org/health/diseases/10857-endometriosis

子宫内膜异位症诊断:梅奥诊所。(2018)。“子宫内膜异位症”。https://www.mayoclinic.org/diseases-conditions/endometriosis/diagnosis-treatment/drc-20354661

子宫内膜异位症治疗:计划生育。(2022)“子宫内膜异位症如何诊断和治疗?”https://www.plannedparenthood.org/learn/health-and-wellness/endometriosis/how-endometriosis-diagnosed-and-treated

见见我们的作者
劳拉DeSanto

劳拉是一名健康作家,了解创伤的艺术治疗师,也是洛杉矶的注册婚姻和家庭治疗师。她也是健康中心(HealthCentral)的前数字编辑,内容包括性健康、消化系统