关于晚期肺癌你需要知道的18个术语


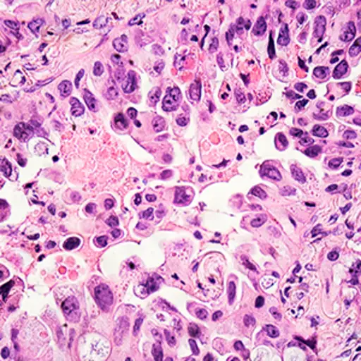
腺癌
腺癌是非小细胞肺癌的三种主要亚型之一,是生长在器官内膜的癌症,通常生长在产生分泌物的细胞中。腺癌是肺癌中最常见的一种,在所有肺癌患者中有超过50%的人被诊断为腺癌。它生长在肺泡的内壁,生长在产生粘液的细胞里。

雅尔韦利
肺泡是肺里微小的腔状空间,是氧气/二氧化碳交换的地方,是“支气管树”的末端。“大多数被诊断为非小细胞肺癌的患者都患有腺癌,这是一种生长在肺泡内壁的癌症。

肺不张
肺不能完全膨胀,或肺萎陷,肺不张会引起疼痛和呼吸短促。

化疗
用于杀死癌细胞的药物治疗,化学疗法最常通过IV给药,但也可以以丸形式给出。虽然它具有一系列潜在的副作用,但许多人可以治疗,使患者更舒适。NSCLC与其他许多其他癌症的化疗不那么响应,但通常与手术组合仍然作为初始治疗或辐射组合给药,当癌症不受手术治疗时。

CT扫描
也被称为CAT扫描或计算机断层扫描,这一系列x光用于提供肺部的详细视图,包括任何可疑的肿块。对于那些可能患有非小细胞肺癌的患者,胸部或胸部CT扫描通常覆盖肝脏、肾上腺和肺部,它不仅可以用来识别任何肿瘤的位置,还可以用来识别附近淋巴结是否存在癌症。

大细胞癌
最不常见的是NSCLC的三个主要亚型,大细胞癌的肺部内衬在肺部的内衬里;大约10%的NSCLC诊断被称为大细胞。它的特征在于它在通常大于大多数肺细胞的细胞中生长。

乳胶术
去除肺的一个叶;在NSCLC中,术后术后去除癌组织并试图预防癌症的蔓延。手术是NSCLC最常见的治疗方法;虽然化疗和放疗是NSCLC比其他类型的癌症效果较差,这两种治疗方法往往仍然提供:化疗结合手术和放疗与化疗治疗晚期非小细胞肺癌。

纵隔镜检查
纵隔是胸腔位于两肺之间的区域;纵隔镜检查是一种对该区域进行视觉检查的手术。纵隔镜是一根带照明灯的细管,通常是用来收集组织的工具,它被插入胸部。外科医生可以在肺之间的区域寻找异常组织,也可以采集组织样本和淋巴结来检查是否有癌症。

转移
当癌症从原发部位扩散到身体的其他部位时,就称为转移。发现癌症的新区域被称为转移区,又名met或mets。晚期NSCLC最常转移到另一个肺或大脑,但也可能转移到肝脏、肾脏、肾上腺、骨骼或肺和心脏周围的液体。

PET扫描
宠物(正电子发射断层扫描)扫描用于检测肺癌的任何传播,包括先进的NSCLC,到身体的其他部位。放射性液体注入患者,并且扫描仪用于鉴定肺部外部的任何恶性细胞和附近的淋巴结。

胸膜,胸腔积液,胸膜瘤
胸膜是胸部的一对保护膜:一个包裹着肺,一个排列在胸腔内。胸腔积液是指液体在胸膜间隙聚集的术语,非小细胞肺癌患者有时也会发生胸腔积液。这种液体的压力会导致胸痛和呼吸困难。胸膜融合术是一种有助于防止胸腔积液复发的治疗方法。

全肺切除术
当NSCLC在整个肺部涂布时使用手术去除一个肺,肺切除术,并且除去一部分不被认为是有效的。

气胸
胸腔内但肺外的空气称为气胸。这种空气的积聚会阻止肺部充分膨胀,而不断增加的压力会导致呼吸短促和胸痛。在非小细胞肺癌患者中,气胸的常见原因是手术,尽管它也可能是由癌症对肺或肺的广泛损伤引起的。

辐射/放射疗法
这是一种常用的使用x射线和/或伽马射线杀死癌细胞的治疗方法,辐射被小心翼翼地输送到尽可能多的癌细胞(以及尽可能少的健康周围组织)。虽然放疗对非小细胞肺癌的疗效不如其他癌症,但它经常与化疗联合使用,帮助阻止晚期非小细胞肺癌的扩散。

节段切除或楔切除术
切除一小部分或楔形肺组织是外科医生为了切除肺肿瘤而进行的手术。它专为较小的肿瘤保留,那些还没有长到可以有效控制肺的肿瘤。

鳞状细胞癌
其中非小细胞肺癌,鳞状细胞癌(又称表皮样癌)的三个主要亚型的约占25所有肺癌的百分比。它生长在衬里内表面的小型平坦鳞状细胞中。

阶段
医生“阶段”你的癌症表明它的侵略性和严重性。您的癌症阶段将有助于确定您收到的类型的治疗类型。在NSCLC中,第1阶段意味着你的癌症被限制在一个肺部。在第2阶段,癌症已侵入附近的淋巴结。第3阶段意味着癌症已经移动到胸腔上的淋巴结;在第4阶段,癌症已经从一个肺部到另一个,和/或诸如肝脏等另一个器官。

胸腔海牙
胸腔积液是指可以在肺和胸壁(胸腔)之间的区域中收集的过度流体。患有NSCLC的患者可能会发现癌症本身或治疗导致这种积液,这会导致疼痛和呼吸困难。胸腔海欣生是轻微的手术,用于排出流体并使患者更舒适。