了解非小细胞与小细胞肺癌
经过eileen bailey.
卫生师

Istock.
那里有两个主要类型的肺癌:非小细胞肺癌(NSCLC)和小细胞肺癌(SCLC),每一个都有几个亚型。差异是基于每个类型的细胞在显微镜下看的细胞。您的治疗可能因您拥有的癌症的类型和亚型而异。

Istock.
非小细胞肺癌
根据美国癌症协会,约85%的肺癌是非小细胞肺癌(NSCLC)。在此类别中有许多亚型。传统上,这些已被视为一种疾病,一定尺寸的拟合所有的角度。治疗仅在诊断癌症时变化。

Istock.
亚型治疗
研究表明,根据期刊发布的报告,基于亚型的亚型治疗可能会产生积极影响处理肺癌。研究人员发现,亚型在肺部的起源,位置和生长模式中不同。确定亚型可以允许使用更多的靶向治疗。

Istock.
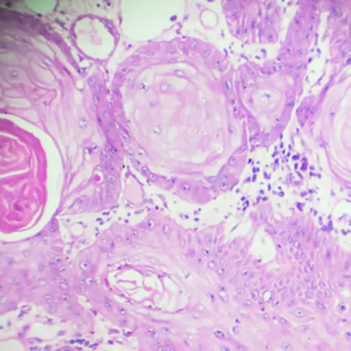
非小细胞肺癌亚型
- 鳞状细胞癌据Lungcancer.org称,__此亚型占所有肺癌的25%。
- 腺癌:根据Lungcancer.org的说法,美国最常见的肺癌类型。
- 大细胞癌:据Lungcancer.org称,这占NSCLC的10%。

Istock.
不小的细胞肺癌少亚型
较少的常见亚型包括脂质,类癌肿瘤,唾液腺腺癌和未分类。根据肺癌杂志发表的报告,这些亚型仅占NSCLC的一小部分。

Istock.

Istock.
非小细胞肺癌治疗
NSCLC治疗包括手术,去除肺部的部分,辐射,化疗,免疫疗法,激光治疗,光动力治疗,冷冻疗法和电陶工。

Istock.
小细胞肺癌
小细胞肺癌(SCLC)通常称为燕麦细胞癌,据据此占10-15%的肺癌AEMERICAN癌症学会。这些癌症迅速蔓延,但对化疗比NSCLC更快,lungcancer.org.报告。

Istock.
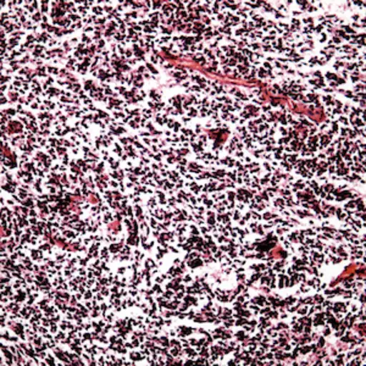
小细胞肺癌亚型
- 小细胞癌(燕麦细胞癌):这是SCLC的大多数,并且被称为燕麦细胞,因为细胞很小,圆形和类似燕麦。
- 组合小细胞癌:根据一份报告,这是小细胞癌与其他组分(例如NSCLC)相结合美国临床病理学杂志。对化疗的反应非常差。

Istock.
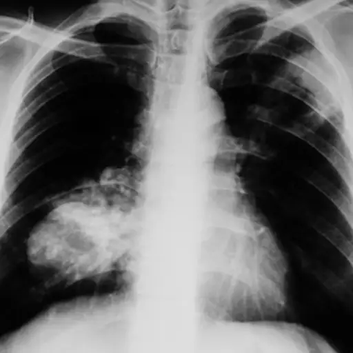
最具侵略性的肺癌形式:小细胞肺癌
SCLC是最具侵略性的肺癌形式。它通常从胸部中心开始呼吸管,并迅速蔓延到身体的其他部位,包括大脑,肝脏和骨骼。

Istock.
小细胞肺癌的症状
据此,SCLC的一些症状国家癌症研究所, 是:
- 痰中的血液
- 胸痛
- 咳嗽
- 食欲不振
- 减肥
- 气促
- 喘息

Istock.
小细胞肺癌治疗
因为SCLC迅速蔓延,手术通常不是一个选择。大多数治疗计划包括化疗和辐射。即使在手术后,通常需要化疗和辐射来帮助控制或阻止癌症的蔓延。