MS:信任问题
通过有关建立成功的医生关系的建议和技巧,从MS治疗中充分利用。

阳光,维生素D和MS之间的联系
找出为什么阳光维生素在管理多发性硬化症方面表现出希望,以及您应该得到多少。

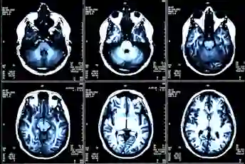
从您的MRI中有意义
这是这些年度灰度脑扫描对您的疾病进展的说法。

神经科医生希望MS患者知道的10件事
从治疗方案到充满希望的新进步,MS专家分享他们希望您保持头脑头的外卖。

如何解码您的MS医生在说什么
了解您的团队可能使用的术语可以帮助您对MS治疗感到自信。这就是他们的意思,在真实的人讲话中。

最佳药物问题可以带给您下一个MS预约
当您有多发性硬化症时,清晰度至关重要。这是要求您的神经科医生确保您在同一页面上有关治疗的方法。

启发的女士影响者和在线社区
无论您在MS旅程中,与这些在线社区和社交媒体超级巨星建立联系后,您都会感到孤独。

您和您的MS医生很合适吗?9个迹象是一场比赛
为您和您的MS选择医生并不总是那么容易。这是如何知道您找到合适的方法的方法。

为什么每个人都有MS的每个人都需要他们的护理团队的心理学家
保持情绪健康对于管理状况至关重要。

B细胞疗法可以改善您的MS症状吗?
B细胞疗法不是治愈方法,但可以缓解症状并有助于预防复发。如果您被认为是此治疗选择的候选人,则需要知道这是您需要知道的。

与您的MS医生建立牢固关系的3种方法
当您拥有MS时,您需要一位医生来听您并尊重您的时间。这是实现这一目标的方法。

关于女士脑病变的6件事
如果可以预防它们,以及为什么治疗如此重要。