心房颤动的测试
通过杰拉德Couzens.
心房的症状原纤化变化。它可能被检测为在针对其他原因订购的物理检查或测试期间的偶然发现。心悸是一种常见的症状,如果你体验它们,或其他呼吸急促,灯头,头晕或胸痛等其他事情,请与您的医生预约。

测试
如果您的心电图上存在心房颤动,或者您的历史表达AFIB,您的医生可以将您推荐给电生理学家(专注于心脏电气系统的心脏病学家)进一步测试和/或治疗。这些测试可能包括以下一个或多个:

心电图(ECG)
心电图(ECG)是一个简单的测试,追踪心脏的电活动。在ECG期间,您在桌子上平放,连接到带有电线的ECG机器,贴在胸部,臂和腿部。测试是无痛的,需要几分钟。ECG产生了一种印刷品,医生可以检查以诊断心律失常或其他类型的心脏病。当您有AFIB时,ATRIA在跟踪中产生一组签名,并且心室率通常是不规则的。

霍尔特监测:第1部分
霍尔特监测是一个连续的心电图录制 - 通常是24到48小时 - 当你达到正常的日常活动时。检测休息期间可能不会发生的心律失常是有用的。在Holter Monitoring期间,电线连接到胸部并连接到您随身携带的小型记录设备。

霍尔特监测:第2部分
如果您遇到任何症状,则要求您按下按钮并记录您的症状,以便可以确定您在症状时的心律节奏。心律失常专家将分析电气记录,以确定您的实际心律当时在您正在经历症状的时候以及是否在佩戴HOSTER MONITOR时发生的任何无症状异常心律。

事件监视器:第1部分
一个活动监视器,类似于Holter监视器,不会连续记录心律。事件监视器仅在发生异常快速或缓慢的心跳时记录心律记录或激活它们时。事件监视器使用几个月,在此期间,如果发生症状,则指示您将指示触发设备。ECG跟踪可以通过电话通过电话传输到监控站,该监控站将分析录制并将其发送给您的心律失常专家。

事件监视器:第2部分
最近,几个新设备出现在市场上,允许使用智能手机(AliveCor和ECG检查)获得单个引导ECG。与患者使用的标准事件监视器不同,持续7至30天,然后返回监测公司或医院,这些新设备可以购买不到200美元的费用,可用于患者无限期地使用。记录一旦记录,ECG跟踪可以通过电子邮件或作为文本消息传输到医生。

植入监控:第1部分
该植入式显示器是一种在皮肤下插入的设备,以及像事件监视器的功能。通常建议该设备用于每三到12个月的患者患有每三到12个月的患者。它用于检测AFIB并确定患者具有的AFIB的量。他们还注意到患者处于心房颤动的时间量。最近的研究表明,这些装置鉴定了AFIB,其具有未解释的中风的患者。

植入监控:第2部分
最近已经简化了插入这些设备的技术。最新型号是关于AAA电池的大小。不是要求通过切口插入(作为起搏器,而是在皮肤下注射监视器,避免对大型切口的需要。同样与起搏器相比,没有需要放置在心脏中的电线,并且插入的是外部的基础进行。

运动压力测试
只发生一些心律失常虽然病人正在锻炼身体。因此,您的医生可能推荐一次运动压力测试。在此测试期间,您在挂钩到ECG机器时,您可以在跑步机上漫步或慢跑。这允许您的心律失常专家确定您是否在锻炼身体时经历任何心律失常,并确定您是否有障碍心动的证据。

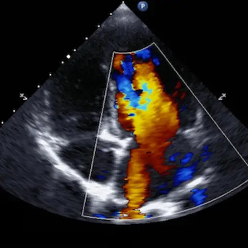
超声心动图:第1部分
一个超声心动图是一种非侵袭性,无痛的测试,允许心脏病学家看看你的心是否正常运作,或者如果它被扩大或削弱或有损坏的阀门。超声波通过胸部指向心脏。声波的回波被处理并用于生产心脏的图像。

超声心动图:第2部分
另外,可以通过使超声探针(在用喉部用药之后和适当的镇静后吞噬药物和适当的镇静)来进行化学激发超声心动图(TEE)。TEE提供从食道的心脏的特写图像。这种技术是寻找阿里亚血栓的绝佳方式。您的医生可以要求您在电气心致或导管消融之前具有TEE。

CT扫描
计算断层扫描(CT)通过使用多层扫描仪采用高分辨率X射线图像来执行扫描。这种先进的成像可以检测冠状动脉疾病,评价先天性心脏病,并且可用于在复杂的导管消融程序之前评估患者的心脏。

磁共振成像
心脏磁共振成像(MRI)是一种评估心脏结构和功能的无痛手段。它有时可以检测稀有的心脏病(如心律病学右心室发育不良和心脏结节病),并且涉及没有辐射。过去,植入心脏起搏器和除颤器的患者不允许MRI - 但由于几个医生和研究人员的努力,现在可以在许多植入心脏装置的患者中安全地进行MRI。

电生理学研究:第1部分
一些心律失常难以诊断,可能需要一个电生理学(EP)研究。EP研究通常用于评估有“晕倒”或经历异常的快速心律的患者。即使没有经历症状,也可能推荐该测试。在其他情况下,作为其风险评估的一部分,遗传性心脏病病情的患者可能会接受EP研究。在这些情况下,EP研究可能表明需要预防性治疗。

电生理学研究:第2部分
在EP研究中,电生理学家将几种静脉注射(IV)系列插入大静脉。然后电生理学家通过IVS通过几种电导管,并使用X射线成像将它们引导到心脏中。这允许电生理学家检查心脏内部的电活动,以确定是否以及为什么节律是异常的。一旦知道,您的医生可以规定最有效的治疗方法。